产品介绍
自动高效:
大通量玻片扫描达240片,实现自动进片、自动对焦、自动扫描,平均扫描时间≤30s
清晰精准:
扫描分辨率≥0.25um/像素;扫描区域智能识别;超景深融合技术,更高清晰度
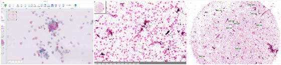
全景拼接:
扫描一张玻片可实现全景图像预览
AI判读:
基于AI的超分辨成像+智能判读
高效、高技术壁垒:
融合高分辨光学成像、高精度机电控制及人工智能分析三大技术,实现样本全景高速扫描、优质数字图像处理、精准辅助诊断决策等功能,自动高效,解放人力,医生仅需简单复核,有效填补医师空缺
多功能、高水准:
AI辅助诊断,使病理诊断更加客观高效,保持较高阅片水准,防止误读;远程病理会诊,打破资源分布不均限制,实现精准复核;两者结合满足临床需求
高特异性、敏感性:
针对乳腺癌、宫颈癌、结直肠癌、白血病开发独立的人工智能诊断模块,单视野的敏感性和特异性都超过97%,整张玻片的敏感性低度病变及高度病变类型病例的检出率超过96%
